你知道吗?最近网上有个特别火的吃瓜视频,说的是牙齿不齐的人那些事儿。这可真是让人捧腹大笑,又不禁让人深思。咱们一起来聊聊这个话题吧!

视频里,一位牙齿不齐的小哥哥在吃瓜时,因为牙齿的排列问题,导致瓜肉总是卡在牙缝里。他一边吃一边尴尬地笑,那表情,简直让人忍俊不禁。网友们纷纷留言:“这瓜吃得太有创意了!”、“牙齿不齐也能这么搞笑!”。

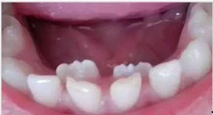
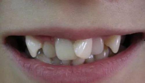
其实,牙齿不齐并不是个罕见的问题。据《中国口腔健康白皮书》显示,我国有超过80%的人存在牙齿不齐的情况。那么,牙齿不齐究竟是由什么原因造成的呢?
1. 遗传因素:家族中如果有牙齿不齐的情况,那么下一代患病的可能性也会增加。
2. 不良习惯:如吮吸手指、咬笔头等不良习惯,都可能导致牙齿排列不齐。
3. 口腔疾病:如牙周病、龋齿等口腔疾病,也可能导致牙齿移位。
4. 生长发育:儿童在生长发育过程中,牙齿可能会因为各种原因而出现不齐。

牙齿不齐不仅影响美观,还可能带来一系列健康问题。
1. 口腔健康:牙齿不齐容易导致食物残渣滞留,引发口腔疾病。
2. 咀嚼功能:牙齿不齐会影响咀嚼功能,导致消化不良。
3. 心理健康:牙齿不齐的人容易产生自卑心理,影响社交。
那么,牙齿不齐该如何矫正呢?以下是一些常见的矫正方法:
1. 传统矫正器:通过金属丝、托槽等矫正牙齿,效果明显,但美观性较差。
2. 隐形矫正器:采用透明材料制作,美观性较好,但价格较高。
3. 牙齿正畸手术:适用于牙齿严重不齐的患者,但风险较大。
4. 牙齿美容修复:通过贴面、烤瓷牙等手段改善牙齿外观,但无法改变牙齿排列。
为了避免牙齿不齐,我们可以采取以下预防措施:
1. 养成良好的口腔卫生习惯:每天刷牙、使用牙线,定期洗牙。
4. 保持良好的饮食习惯:多吃蔬菜、水果,少吃甜食。
牙齿不齐虽然是个让人头疼的问题,但只要我们采取正确的预防和矫正方法,就能拥有健康、美丽的笑容。那么,就让我们一起关注牙齿健康,从现在开始吧!
本文由admin于2026-01-28发表在看料网,如有疑问,请联系我们。
本文链接:https://www.ixianrou.com/post/1257.html